東京 青山・難波 なんばのインビザライン(マウスピース型カスタムメイド矯正装置)マウスピース矯正専門歯科 青山アール矯正歯科
当院のインビザライン(マウスピース型カスタムメイド矯正装置)治療症例
CASE

過蓋咬合(かみ合わせが深い、オーバーバイト)の矯正症例

過蓋咬合(かがいこうごう)とは、上下の前歯の重なりが大きい(深い)事を指します。下の前歯が上の歯ぐきに食い込んでいることもあります。下の前歯が上に突き出ている場合と、上の前歯が下に突き出ている場合、両方の症状がある場合があります。

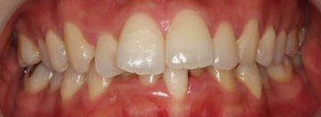
過蓋咬合
上顎前歯てい出によるディープバイト

上顎前歯てい出によるディープバイト

13歳 女性
詳しく見る
過蓋咬合
下顎のそう生を伴うディープバイト

下顎のそう生を伴うディープバイト

16歳 男性
詳しく見る
過蓋咬合
重度のⅡ級ディープバイト治療

重度のⅡ級ディープバイト治療

37歳 女性
詳しく見る
過蓋咬合
ディープバイト・前突ケース

ディープバイト・前突ケース

20歳 女性
詳しく見る
過蓋咬合
下顎前歯の叢生を伴うディープバイト

下顎前歯の叢生を伴うディープバイト

25歳 女性
詳しく見る
過蓋咬合
重度のそう生を伴うディープバイト

重度のそう生を伴うディープバイト

40歳 女性
詳しく見る
過蓋咬合
上顎中切歯翼状捻転および上顎前突を伴う空隙歯列過蓋咬合

上顎中切歯翼状捻転および上顎前突を伴う空...

27歳 女性
詳しく見る
過蓋咬合
上顎中切歯翼状捻転を伴う上顎前突、重度の過蓋咬合

上顎中切歯翼状捻転を伴う上顎前突、重度の...

34歳 女性
詳しく見る
過蓋咬合
上下顎に叢生を伴う過蓋咬合

上下顎に叢生を伴う過蓋咬合

25歳 女性
詳しく見る
過蓋咬合
過蓋咬合を伴う重度の叢生

過蓋咬合を伴う重度の叢生

36歳 女性
詳しく見る
1 2 >

開咬

(前歯が開いている、オープンバイト)

過蓋咬合

(かみ合わせが深い、オーバーバイト)

空隙歯列

(すきっ歯)

先天性欠如

(生まれつき歯が足りない)

そう生

(歯並びのガタガタ、乱杭歯、八重歯)

上顎前突

(出っ歯、小さい下顎)

下顎前突

(反対咬合、上あごの劣成長等を含む)

上下顎前突

(口元の突出、上下の前歯の突出)

*当院で掲載されている症例画像等の無断使用、
転載は固く禁じております。

マウスピース型
カスタムメイド矯正装置について

■未承認医薬品等の使用

当院で使用していますマウスピース型カスタムメイド矯正装置(製品名:インビザライン®)は、日本国薬機法上の医療機器として認証・承認を得ていない装置であり、日本国歯科技工士法上の矯正装置にも該当しません。

■入手経路

当院が使用するマウスピース型カスタムメイド矯正装置(製品名:インビザライン®)は、米国アライン・テクノロジー社の製品です。
当院はインビザライン®を用いた治療システムを、米国アライン・テクノロジー社のグループ会社である「アライン・テクノロジー・ジャパン株式会社」より入手しています。
https://www.yakubutsu.mhlw.go.jp/individualimport/health_damage/overseas_report/index.html

■国内の承認医薬品等の有無

マウスピース型カスタムメイド矯正装置のメーカーは国内外に多数あります。インビザライン®以外に、日本国で承認を得ている矯正装置を用いた治療法が存在します。

■諸外国における安全性に関わる情報

インビザライン®は、1998年にFDA(米国食品医薬品局)により医療機器として認証を受けていて、これまでに治療を受けた患者さんは、世界で520万人(2018年1月時点)に上りますが、重大な副作用の報告はありません。

■医薬品副作用被害救済制度について

カスタムメイドの矯正装置であり、既製品ではないため(市場流通性がありません)、薬機法の対象となりません。
薬機法の対象外であるため、医薬品副作用被害救済制度の対象とならない場合があります。

マウスピース型カスタムメイド矯正装置について
こちらで詳しくご説明しています。

通常費用 660,000円~1,100,000円(税込)
※矯正歯科治療は公的医療保険適用外の自費(自由)診療となります。
※精密検査料55,000円(税込)が別途かかります。
※調整料はかかりません。
※治療終了後には歯並びを安定させるため、別途保定装置(リテーナー)の購入が必要となります。

矯正治療の料金を詳しく見る

治療内容

マウスピース型カスタムメイド矯正装置(インビザライン)による矯正治療は、マウスピース型カスタムメイド矯正装置を1日22時間以上(目安)装着して歯を移動させる治療法です。1週間~2週間毎に新しい装置に交換します。
■通院回数
・通常:8〜10回程度
・オンライン診療を併用した場合:5回以内に抑えられるケースもあります。
■治療期間
・ワイヤー矯正とほぼ同等で、約1年半〜2年程度が目安となります。
お口の状態によって、使用する装置の枚数、交換期間、治療期間等に違いがあります。

マウスピース型カスタムメイド矯正装置による
治療の流れを詳しく見る

主なリスク、副作用、注意点等
  • 正しい装着方法で1日20時間以上使用しない場合は治療期間が延長する可能性があります。
  • 治療完了後は後戻りを防ぐため、保定装置の装着が必要になります。
  • お口の中の状態によっては、治療計画通りの結果が得られない場合もあります。
  • 治療によって、まれに歯根吸収や歯肉退縮が起こる場合があります。
  • 治療途中でワイヤー治療への変更が必要な場合があります。
  • お口の状態によっては、マウスピース型カスタムメイド矯正装置(インビザライン)に加え、補助矯正器具が必要になる場合があります。
  • 薬機法対象外の矯正歯科装置であり、医薬品副作用被害救済制度の対象外となる場合があります。

マウスピース型カスタムメイド矯正装置(インビザライン)
のリスク・デメリットを詳しく見る

東京院

〒107-0062 東京都港区南青山1-15-2 越山ビル2F

03-3746-4180

難波院

〒556-0021 大阪府大阪市浪速区幸町1-3-19 昭和綜合管理本社ビル3F

06-6561-4181

診療時間(東京)

月~水・金
午前 10:30~14:00 午後 15:00~19:00
午前 10:00~13:00 午後 14:00~18:30

休診日

木曜・日曜・祝日

診療時間(難波)

月~水・金
午前 11:00~14:00 午後 15:00~19:30
午前 10:00~13:00 午後 14:00~18:30

休診日

木曜・日曜・祝日
Page Top
東京院 難波院 初診相談はこちら