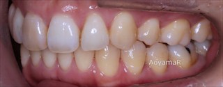
上顎前突(出っ歯、小さい下顎)の矯正症例
CASE 05
(35歳 女性 )
上顎両側第一小臼歯抜歯によるスペースの確保、叢生のおよび唇側傾斜の改善
補助矯正+マウスピース型カスタムメイド矯正装置(インビザライン)
治療前
治療後















当院で使用していますマウスピース型カスタムメイド矯正装置(製品名:インビザライン®)は、日本国薬機法上の医療機器として認証・承認を得ていない装置であり、日本国歯科技工士法上の矯正装置にも該当しません。
当院が使用するマウスピース型カスタムメイド矯正装置(製品名:インビザライン®)は、米国アライン・テクノロジー社の製品です。
当院はインビザライン®を用いた治療システムを、米国アライン・テクノロジー社のグループ会社である「アライン・テクノロジー・ジャパン株式会社」より入手しています。
https://www.yakubutsu.mhlw.go.jp/individualimport/health_damage/overseas_report/index.html
マウスピース型カスタムメイド矯正装置のメーカーは国内外に多数あります。インビザライン®以外に、日本国で承認を得ている矯正装置を用いた治療法が存在します。
インビザライン®は、1998年にFDA(米国食品医薬品局)により医療機器として認証を受けていて、これまでに治療を受けた患者さんは、世界で520万人(2018年1月時点)に上りますが、重大な副作用の報告はありません。
カスタムメイドの矯正装置であり、既製品ではないため(市場流通性がありません)、薬機法の対象となりません。
薬機法の対象外であるため、医薬品副作用被害救済制度の対象とならない場合があります。
マウスピース型カスタムメイド矯正装置について
こちらで詳しくご説明しています。
| 通常費用 | 660,000円~1,100,000円(税込) ※矯正歯科治療は公的医療保険適用外の自費(自由)診療となります。 ※精密検査料55,000円(税込)が別途かかります。 ※調整料はかかりません。 ※治療終了後には歯並びを安定させるため、別途保定装置(リテーナー)の購入が必要となります。 |
|---|---|
| 治療内容 | マウスピース型カスタムメイド矯正装置(インビザライン)による矯正治療は、マウスピース型カスタムメイド矯正装置を1日22時間以上(目安)装着して歯を移動させる治療法です。1週間~2週間毎に新しい装置に交換します。 |
| 主なリスク、副作用、注意点等 |
|
青山アール矯正歯科について
インビザライン
東京院
〒107-0062 東京都港区南青山1-15-2 越山ビル2F
03-3746-4180難波院
〒556-0021 大阪府大阪市浪速区幸町1-3-19 昭和綜合管理本社ビル3F
06-6561-4181診療時間(東京)
休診日
診療時間(難波)
休診日